ページ上部

【中部大学】女性の顔のたるみやシワの原因となる顔面骨密度の減少は閉経前から進行! ー難消化性オリゴ糖「マルトビオン酸」に顔面骨密度維持機能を確認 ー

【中部大学】女性の顔のたるみやシワの原因となる顔面骨密度の減少は閉経前から進行! ー難消化性オリゴ糖「マルトビオン酸」に顔面骨密度維持機能を確認 ー
“老け顔”は特に女性にとって気になることで、顔面骨密度の低下が引き起こしています。中部大学応用生物学部応用生物化学科の大西素子教授らは、医薬用ぶどう糖などを製造する糖質メーカーのサンエイ糖化株式会社(愛知県知多市、太田隆行社長)と共同で、上顎や下顎を含む「顔面骨密度」は閉経前の早期の段階から減少することをヒト臨床試験と歯科用X 線CT 装置による顔面骨密度の測定で明らかにしました。さらに難消化性オリゴ糖「マルトビオン酸」が顔面骨密度の維持・改善に寄与することを確認しました。
【研究成果のポイント】
■女性の顔面骨密度は、一般に骨密度の急激な低下が始まると言われる閉経より前から減少していた
■歯科用X線CT 装置を用いる顔面骨密度の診断は、従来の踵で測る簡易的な骨密度の測定ではわからない骨量減少の初期段階である閉経より前から骨の健康の把握に有効なツールとなることが分かった
■難消化性オリゴ糖のマルトビオン酸の摂取が顔面骨密度の維持・改善に有効である結果を得た

【発表内容】
“老け顔”は特に女性にとって気になることで、顔面骨密度の低下が引き起こしています。中部大学応用生物学部応用生物化学科の大西素子教授らは、医薬用ぶどう糖などを製造する糖質メーカーのサンエイ糖化株式会社(愛知県知多市、太田隆行社長)と共同で、上顎や下顎を含む「顔面骨密度」は閉経前の早期の段階から減少することをヒト臨床試験と歯科用X 線CT 装置による顔面骨密度の測定で明らかにしました。さらに難消化性オリゴ糖「マルトビオン酸」が顔面骨密度の維持・改善に寄与することを確認しました。
女性における骨密度低下と顔面骨密度の変化
日本における骨粗しょう症患者は男性300万人、女性1000万人の計1,300万人と推計されています。骨粗しょう症の予防には、成長期における最大骨量の確保と、骨量がピークを迎える20代以降の骨量維持が重要であり、必須栄養素であるカルシウムの適切な摂取が重要です。特に閉経後の女性は、エストロゲンなどの女性ホルモン分泌低下により骨代謝のバランスが崩れ、破骨細胞による骨吸収が骨芽細胞による骨形成を上回ることで骨密度が急激に低下し、骨粗しょう症のリスクが高まることが一般的に知られています(図1)。

骨粗しょう症の一般的な症状として、背中の曲がりや腰の痛み、脚の骨折などがイメージされます。しかし近年の研究により、足腰よりも顔面骨の骨密度低下がより早期に発生することがわかってきました。米国における研究では、年代別に腰椎と顔面骨(上顎、下顎)の骨密度の比較をしたところ、腰椎の骨密度減少は61歳以上の高年層で認められるのに対し、顔面骨の骨密度は41~60歳の中年層で既に大きく減少していることが確認されています(図2)。
顔面骨密度が低下すると骨が萎縮して「骨やせ」が発生します。骨やせにより「目のくぼみ」や「頬のこけ」、顔の筋肉を支えるじん帯が緩むことで皮膚が余り、「肌のたるみやシワ」が目立つ”老け顔”が加速すると言われています。骨密度を維持すること、すなわち骨のエイジングケアは、見た目の若さや美容にも大きな影響を及ぼします(図3)。

マルトビオン酸とは
マルトビオン酸は、サンエイ糖化(株)が国産のハチミツの中に微量に含まれるオリゴ糖成分として発見し、食品素材用途向けに穀物由来の澱粉を原料にその量産化を確立し、世界初の実用化を成功させた二糖類です。マルトビオン酸は糖でありながら酸の性質を持つため、カルシウムの溶解度を著しく高め、腸管内でカルシウムの吸収を促進します。研究チームでは、ヒト臨床試験においてマルトビオン酸カルシウムと牛乳の同時摂取でカルシウムの吸収効率が高まる結果や、マルトビオン酸が骨を壊す破骨細胞の過剰な作用を抑制する効果に関する研究結果をこれまでに報告し、マルトビオン酸の機能性表示食品原料として活用が広がっています。

本研究内容
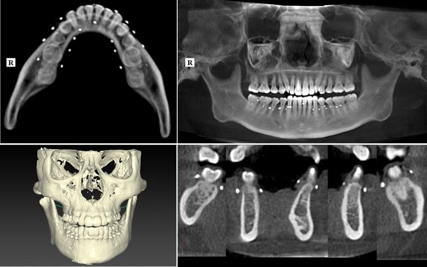
今回、ヒトに対する効果を検証するために、30~60代の中部大学女性職員48人を対象に、マルトビオン酸カルシウムを含む、または含まないタブレット菓子を摂取する2つのグループに分けて、24週間継続摂取するヒト臨床試験を実施しました。試験では、歯科用X線CT装置を用いた、顔面(上顎と下顎)の骨密度を、試験前後にそれぞれ測定を行いました(図4)。
その結果、マルトビオン酸カルシウムの代わりにマルトース(麦芽糖)と炭酸カルシウムを含有するタブレットを摂取したグループ(プラセボ群)では、閉経前と閉経後のどちらの被験者においても摂取前と比較して摂取後の顔面骨密度は減少していました。一方、マルトビオン酸カルシウムを含むタブレットを摂取したグループ(マルトビオン酸Ca群)では、閉経前と閉経後のどちらの被験者においても、摂取前と比較して摂取後の顔面骨密度は維持され、プラセボ群と比較して有意な改善効果が確認されました(図5)。
本研究で得られたエビデンスより、歯科用X 線CT装置による顔面骨密度の測定は、骨密度低下が初期段階である30代以降の骨の健康を把握する上で有用な評価指標となり得ることが示唆されました。さらにマルトビオン酸カルシウムの継続摂取により、閉経前においても顔面骨密度の減少を抑え、将来の骨粗鬆症予防に有用、且つ美容の観点から容姿年齢の維持にも寄与できる可能性があると考えられました。

骨粗しょう症は自覚症状がほとんどなく、骨折して初めて気がつく人が多いため「沈黙の疾患」とも呼ばれています。骨粗しょう症の予防において、閉経前の早期から骨の健康状態を定期的に把握し、食生活や運動習慣を見直すことが重要である一方で、骨粗しょう症検診の受診率は4.5%程度(公益財団法人日本骨粗鬆症財団 2020年調査結果)と非常に低く、疾患予防に対する意識向上が必要です。歯科用CT画像による顔面骨密度の測定が、歯科診断と併せて実施できれば骨粗鬆症の予防に役立つツールとなること、また容姿維持は肌へのメンテナンスだけではなく、骨密度の維持が特に重要であることを啓蒙していくことで、若年者への骨密度に対する関心をより高めることが期待されます。

なお、本研究成果は、栄養学分野で評価の高い国際学術誌「Nutrients」に2025年1月に掲載されました。

論文情報
Daiki Suehiro, Nami Ikeda, Kiyoto Hirooka, Akinori Ihara, Ken Fukami, Motoko Ohnishi, “Decrease in Facial Bone Density with Aging and Maintenance Effect of Calcium Maltobionate Ingestion in Japanese Adult Women: A Randomized, Double-blind, Placebo-controlled, Parallel-Group Trial”, Nutrients
DOI 10.3390/nu17020262
本研究に関する問い合わせ先
大西 素子(中部大学 応用生物学部 応用生物化学科 教授)
電話:0568-51-6328
E-mail:mohnishi[at]isc.chubu.ac.jp ※アドレスの[at]は@に変更してください。

本件に関するお問い合わせ先

中部大学 学園広報部広報課

TEL
0568-51-7638
E-mail
cuinfo@office.chubu.ac.jp

添付資料