ページ上部

大妻女子大学の青江誠一郎教授らによる研究で、金色のユーグレナ(パラミロンEOD-1)の摂取によるメタボリックシンドローム関連指標の改善を世界で初めて確認

大妻女子大学の青江誠一郎教授らによる研究で、金色のユーグレナ(パラミロンEOD-1)の摂取によるメタボリックシンドローム関連指標の改善を世界で初めて確認
大妻女子大学(東京都千代田区)家政学部食物学科の青江誠一郎教授と株式会社神鋼環境ソリューション(神戸市中央区)は、軽度肥満の成人男女を対象として「金色のユーグレナ(パラミロンEOD-1)」の摂取によるメタボリックシンドローム関連指標の改善効果について共同研究を実施。その研究成果が2022年11月17日に国際学術誌「Food Science & Nutrition」に掲載された。ヒト試験により改善が確認された世界初の論文となる。(Food Science & Nutrition;https://onlinelibrary.wiley.com/doi/full/10.1002/fsn3.3130)
 「金色のユーグレナ(パラミロンEOD-1)(※1、2)」とは、株式会社神鋼環境ソリューションが発見した新規株「ユーグレナグラシリスEOD-1株」を光合成させずにタンクの中で純粋培養したもの。株そのものが持つパラミロンを豊富に含有する特長に加え、光を遮蔽した製造方法を採用することでパラミロン含有率は70%を超えている。このたびの共同研究では、金色のユーグレナ(パラミロンEOD-1)がメタボリックシンドローム関連指標に与える影響について検証。パラミロンの摂取で食後の血糖値や内臓脂肪量を低下させることを動物実験において確認していたが、今回の研究の結果、ヒトにおいても同様の効果があることが世界で初めて実証された。
 金色のユーグレナ(パラミロンEOD-1)は、腸管の細胞を刺激することで作用すると考えられており、腸管から脂肪組織や肝臓に働きかけることで、血糖コントロールの改善や内臓脂肪の低減に作用し、メタボリックシンドロームを予防・改善することが期待される。今後は、金色のユーグレナ(パラミロンEOD-1)の腸に対する作用の詳細なメカニズム解明を進め、腸との関係性を明らかにしていく予定である。

◆論文内容
【タイトル】Effects of Paramylon rich Euglena Gracilis EOD-1 Powder on Visceral Fat Obesity in Moderately Obese Japanese Adults: A Randomized, Double-Blind, Placebo-Controlled, Parallel-Group Trial
(軽度肥満の日本人成人における内臓脂肪型肥満(※3)に対するパラミロンを豊富に含んだユーグレナグラシリスEOD-1株粉末の効果)

【概 要】
1.対象者
 20歳以上65歳以下、BMI25以上30未満、腹囲が男性は85cm以上、女性は90cm以上の男女36名。
2.試験食品
 1日摂取量15粒あたり金色のユーグレナ3.3g(パラミロンEOD-1 2.6g)を含有するカプセルを被験食品とした。対照食品は、セルロースを含有するカプセルとした。
3.試験デザイン
 二重盲検並行群間比較試験(※4)として実施。被験食品群(金色のユーグレナ群)には金色のユーグレナ含有カプセルを、対照群にはプラセボカプセルを、それぞれ1日3回毎食後に5粒(合計15粒)を毎日12週間摂取させた。
4.結果
 血中のヘモグロビンA1c(HbA1c)(※5)において、金色のユーグレナ群は対照群と比較して、有意な改善が確認された(図1)。
 血中のアディポネクチン(※6)において、金色のユーグレナ群は対照群と比較して、有意な低下抑制が確認された(図2)。
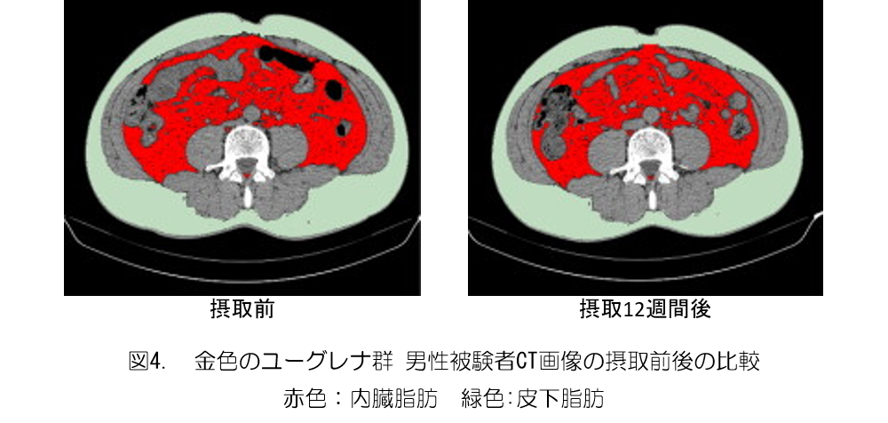
 男性の比較においては、金色のユーグレナ群は対照群と比較して、内臓脂肪面積の有意な低下が確認された(図3、4)。

【掲載情報】
 『Food Science & Nutrition; https://onlinelibrary.wiley.com/doi/full/10.1002/fsn3.3130 』
(※1)パラミロンとは
 ユーグレナが体内に貯蔵する独自の成分で、3本の直鎖状のβ-1,3グルカンがねじれあう螺旋構造をしている。パラミロンの形状はユーグレナの種類によって特徴があり、棒状やリング状、球状など様々な形状がある。一般的に、光合成で育てたユーグレナのパラミロン含有量は7~10%程度である。

(※2)パラミロンEOD-1とは
 金色のユーグレナに含まれるパラミロン。株式会社神鋼環境ソリューションの研究により免疫力の向上、精神的・身体的疲労感の軽減、自律神経バランスの調整、血糖値上昇抑制、LDLコレステロール低下などの効果を確認している。
パラミロンEOD-1に関する詳しい情報: https://eod1-paramylon.com/

(※3)内臓脂肪型肥満とは
 胃や腸などの臓器の周りに脂肪が過剰に蓄積しているタイプの肥満。下半身よりもウエストまわりが大きくなる体型から「リンゴ型肥満」とも呼ばれ、男性に多く見られるのも特徴。

(※4)二重盲検並行群間比較試験とは
 被験食を含む食品を摂取するグループと被験食を含まない食品(プラセボ)を摂取するグループに分けて、この2グループの間で有効性を比較する試験のこと(並行群間比較)。また、各グループの参加者は、それぞれ、どちらの食品を摂取しているかは分からないようにしている(二重盲検)。二重盲検並行群間比較試験は、ヒト試験の試験デザインとしては、非常に信頼性の高い試験方法。

(※5)ヘモグロビンA1cとは
 糖が結合したヘモグロビンの1種。過去1~3ヵ月の平均的血糖値を反映し血糖コントロールの状態を表しているとされており、糖尿病の診断基準としても用いられている。

(※6)アディポネクチンとは
 脂肪細胞から分泌されるホルモンの1つで、抗メタボリックシンドローム、抗糖尿病、抗動脈硬化作用などの有益な生理活性が多数報告されている。しかし、脂肪細胞が過剰に脂肪を蓄積することで分泌が低下することが知られており、アディポネクチンを維持・増加させることは、メタボリックシンドロームを改善する上で重要。

▼本件に関するお問い合わせ先
・大妻女子大学 広報・入試センター 広報・募集グループ
 TEL:03-5275-6011
 FAX:03-3261-8119
 〒102-8357 東京都千代田区三番町12番地
・株式会社神鋼環境ソリューション 新規事業推進部 藻類事業推進室
 TEL:078-232-8223
 FAX:078-232-8188
 〒651-0072 神戸市中央区脇浜町1丁目4番78号

添付資料