- ★Google+
- ★Hatena::Bookmark
古典的ホジキンリンパ腫(classic Hodgkin lymphoma, cHL)は、大型で多核のリード・シュテルンベルグ(Reed-Sternberg, RS)細胞の出現と、複雑な染色体異常を特徴とする。腫瘍壊死因子レセプターファミリーに属するCD30の強い発現も特徴の一つであるが、cHLにおけるCD30の役割については不明な点が多い。 本研究では、cHL細胞において、CD30が活性酸素産生を介して染色体DNA損傷と細胞分裂異常を誘発し、RS細胞の出現や複雑な染色体異常に関与していることを初めて示唆した。
この結果は、cHLの分子病理学的な理解に貢献すると同時に、cHLの発症の予防や治療における分子標的としてのCD30や活性酸素制御の重要性を明らかにしたものである。この成果は、北里大学医療衛生学部 堀江良一教授(当時、現:神奈川工科大学研究員、北里大学大学院医療系研究科一般研究員)が責任著者となり、北里大学医療衛生学部、北里大学医学部、東京大学大学院新領域創成科学研究科の研究グループが共同で、日本癌学会の学術誌Cancer Scienceにて発表した。
■論文情報
掲載誌:Cancer Science(オンライン公開 2023年6月11日)
論文名:CD30 induces Reed-Sternberg cell-like morphology and chromosomal instability in classic Hodgkin lymphoma cell lines.
著 者:Watanabe M, Hatsuse H, Nagao K, Nakashima M, Uchimaru K, Otsu M, Miyazaki K, Horie R.
DOI:10.1111/cas.15874
掲載誌:Cancer Science(オンライン公開 2023年6月11日)
論文名:CD30 induces Reed-Sternberg cell-like morphology and chromosomal instability in classic Hodgkin lymphoma cell lines.
著 者:Watanabe M, Hatsuse H, Nagao K, Nakashima M, Uchimaru K, Otsu M, Miyazaki K, Horie R.
DOI:10.1111/cas.15874
■発表内容
(1) 研究の背景・先行研究における問題点
cHLは、1832年にイギリスのトーマス・ホジキン(Thomas Hodgkin)医師により「リンパ節が腫れて死に至る病気」として報告された。現在では、cHLはCD30を強く発現した腫瘍成分である大型で複雑な染色体異常を有する多核のRS細胞や単核のホジキン(H)細胞が、多数の反応性リンパ球の中にわずか数パーセント存在する特異なリンパ系腫瘍として知られている。しかしRS細胞やH細胞の形成機序、複雑な染色体異常の原因、さらにはCD30の役割については未だ明らかではない。
(1) 研究の背景・先行研究における問題点
cHLは、1832年にイギリスのトーマス・ホジキン(Thomas Hodgkin)医師により「リンパ節が腫れて死に至る病気」として報告された。現在では、cHLはCD30を強く発現した腫瘍成分である大型で複雑な染色体異常を有する多核のRS細胞や単核のホジキン(H)細胞が、多数の反応性リンパ球の中にわずか数パーセント存在する特異なリンパ系腫瘍として知られている。しかしRS細胞やH細胞の形成機序、複雑な染色体異常の原因、さらにはCD30の役割については未だ明らかではない。
(2) 研究内容
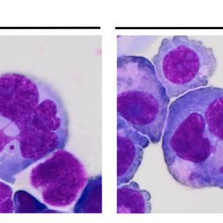
cHLにおけるCD30の役割についてcHL細胞株 (注1) を用いて検討する過程で、CD30刺激 (注2) によりRS細胞様の多核の大型細胞が増加することに気がついたことが本研究のきっかけとなった。さらに注意深く観察すると、増加している多核の大型細胞の核同士がヒモ状の構造物で結ばれていることを発見した【図1】。DAPIという染色体DNAと結合する物質を用いて調べると、ヒモ状の構造物は染色体橋 (注3) であることが判明した。染色体橋は細胞分裂を障害することが知られており、RS細胞様の多核の大型細胞の形成に関与していると考えられた。
一方、染色体橋の形成は染色体DNA損傷との関連が知られている。これを受けて重篤な染色体DNA損傷であるDNA二本鎖切断を検出するγ-H2AXに対する抗体を用いて検討したところ、CD30刺激がDNA二本鎖切断を引き起こしていることを見出した【図2】。さらにDNA二本鎖切断は染色体不安定化や染色体異常を引き起こすことからアレイCGH (注4) で染色体遺伝子の解析を行うと、CD30刺激がcHLに遺伝子のコピー数の異常、特に増加(gain)を誘発することが明らかとなった。さらに細胞増殖という視点で検討したところ、CD30刺激はcHL細胞の増殖を抑制したが、CD30刺激を解除するとcHL細胞は再び増殖した。これらの細胞には染色体異常を起こした細胞も含まれると考えられた。
CD30刺激がDNA二本鎖切断を誘発する原因は何か? はじめにRNAシークエンス (注5) を用いて検討したが、CD30刺激でcHL細胞において変動する遺伝子を多数認めたものの、DNA二本鎖切断の誘発と直接関連するものは見当たらなかった。さらに検討する過程でCD30刺激が活性酸素を産生、活性酸素がDNA二本鎖切断を誘発することを見出した。CD30刺激によるDNA二本鎖切断の誘発は活性酸素阻害薬により抑制された。さらにCD30刺激による活性酸素産生、DNA二本鎖切断の誘発はPI3K (注6) の活性化を介していることが明らかとなった。これらのことにより、CD30刺激はPI3Kの活性化を介して活性酸素を産生、活性酸素がDNA二本鎖切断を誘発することが示唆された。
CD30刺激がDNA二本鎖切断を誘発する原因は何か? はじめにRNAシークエンス (注5) を用いて検討したが、CD30刺激でcHL細胞において変動する遺伝子を多数認めたものの、DNA二本鎖切断の誘発と直接関連するものは見当たらなかった。さらに検討する過程でCD30刺激が活性酸素を産生、活性酸素がDNA二本鎖切断を誘発することを見出した。CD30刺激によるDNA二本鎖切断の誘発は活性酸素阻害薬により抑制された。さらにCD30刺激による活性酸素産生、DNA二本鎖切断の誘発はPI3K (注6) の活性化を介していることが明らかとなった。これらのことにより、CD30刺激はPI3Kの活性化を介して活性酸素を産生、活性酸素がDNA二本鎖切断を誘発することが示唆された。
(3) 考察
本研究により、CD30刺激がPI3Kの活性化を介して活性酸素を産生、活性酸素はDNA二本鎖切断を誘発して染色体が不安定化、染色体橋の形成により細胞分裂が障害されて多核のRS細胞が形成される一方、複雑な染色体異常の原因となることが示唆された。細胞分裂異常は多倍体 (注7) の単核細胞の形成にも関与することから、この過程は大型単核のH細胞の形成にも関与しうると考えられた。すなわちcHLの特徴であるCD30の発現は、他の特徴である多核のRS細胞や単核のH細胞の形成や複雑な染色体異常と密接に結びついていると考えられた【図3】。
CD30刺激は、RS細胞形成前の小型の単核細胞にもDNA二本鎖切断を誘発することから、CD30刺激はこれらの小型の単核細胞にも染色体不安定化を誘導すると考えられる。以前の検討で、RS細胞の多くは死にゆく細胞であることが判明している。リンパ節において、CD30刺激はcHL細胞に周辺に存在する反応性の細胞から間欠的に加わっていることが想定される。さらなる検討が必要であるが、CD30刺激による活性酸素産生を介した染色体DNA損傷と増殖抑制、その中断による増殖促進の繰り返しがcHLの病態の進展に関与しうると考えられる。したがってCD30を分子標的とすることや活性酸素産生制御がcHLの発症予防や治療に貢献する可能性がある。
■用語解説
(注1)細胞株:生体外でも元の細胞の性質を保ちつつ生き続けることができるようになった細胞のこと。
(注2)CD30刺激:CD30に特異的に結合してCD30の生物学的活性を誘導する分子(CD30リガンド)を発現したCHO細胞とcHL細胞を共培養後、cHL細胞のみを回収して解析に使用。
(注3)染色体橋:細胞分裂時に染色体が両極にまたがって引っ張られた形をとった状態。
(注4)アレイCGH:染色体遺伝子の増減を染色体全体で簡便に検出する方法。
(注5)RNAシークエンス:発現している遺伝子を網羅的に解析する方法。
(注6)PI3K:細胞膜の構成成分イノシトールリン脂質をリン酸化する酵素で種々の生物学的活性を有し、がんとの関連も注目されている。
(注7)多倍体:通常の細胞は染色体が2組であるが、それよりも多い組数の染色体を有する状態。
■問い合わせ先
【研究に関すること】
堀江 良一(ホリエ リョウイチ)
E-mail:rhorie55@gmail.com
【取材に関すること】
学校法人北里研究所 総務部広報課
〒108-8641東京都港区白金5-9-1
TEL:03-5791-6422
E-mail:kohoh@kitasato-u.ac.jp
【図1】リード・シュテルンベルグ(RS) 細胞様の多核の大型細胞に見られた核同士を結ぶヒモ状の構造物(矢印)。ギムザ染色によるものでL428、L540は細胞株の名前。この構造物は染色体DNAを染色するDAPI染色により染色体橋と判明した。本論文より引用。
【図2】CD30刺激はcHL細胞に染色体DNA損傷を誘発する。DNA二本鎖切断を検出する抗γ-H2AX抗体を用いた蛍光免疫染色。DAPIで核を染色した。CD30L(+): CD30刺激あり、CD30L(-):CD30刺激なし。Doxは染色体DNA損傷を起こすドキソルビシンにより細胞を処理したもので陽性コントロール。L428、L540は細胞株の名前。スケールは20μm。本論文より引用。
【図3】古典的ホジキンリンパ腫細胞(cHL)におけるCD30刺激による活性酸素産生と染色体不安定化によるリード・シュテルンベルグ細胞と複雑な染色体異常誘導の関係。
大学・学校情報 |
|---|
| 大学・学校名 北里大学 |
|
|
| URL https://www.kitasato-u.ac.jp/ |
| 住所 〒108-8641 東京都港区白金五丁目9番5号 |
| 学校法人北里研究所が設置する北里大学は、北里柴三郎を学祖とする生命科学の総合大学で、「開拓」「報恩」「叡智と実践」「不撓不屈」を建学の精神としています。2015年12月、大村智特別栄誉教授が「線虫感染症の新しい治療法の発見」によりノーベル生理学・医学賞を受賞。2024年7月、20年振りに刷新された新千円札の肖像画に北里柴三郎が採用された。 |
| 学長(学校長) 砂塚 敏明 |
大学探しナビで北里大学の情報を見る