「埼玉医科大学」のニュース記事検索結果 18件
埼玉医科大学と秀明中学校・高等学校が中高大連携協定を締結 ~幅広い連携協力の下、相互の理解を深め教育の活性化を図る~
令和7年12月16日、埼玉医科大学(埼玉県入間郡毛呂山町、竹内勤学長)と秀明中学校・高等学校(埼玉県川越市、神原洋校長)は、中高大連携協定を締結しました。
【埼玉医科大学】ミトコンドリアの呼吸出力を上げる"アンプ"が健康寿命を延伸させる ~呼吸鎖の"スーパー"複合体を完成させるラストピース「COX7RP」による元気増強メカニズム~
埼玉医科大学医学部 ゲノム応用医学の池田和博准教授、東京都健康長寿医療センター研究所 老化機構研究チーム システム加齢医学の井上聡研究部長らは、千葉大学大学院医学研究院 分子病態解析学講座の協力を得て、ミトコンドリア呼吸力の出力を強める“ア...
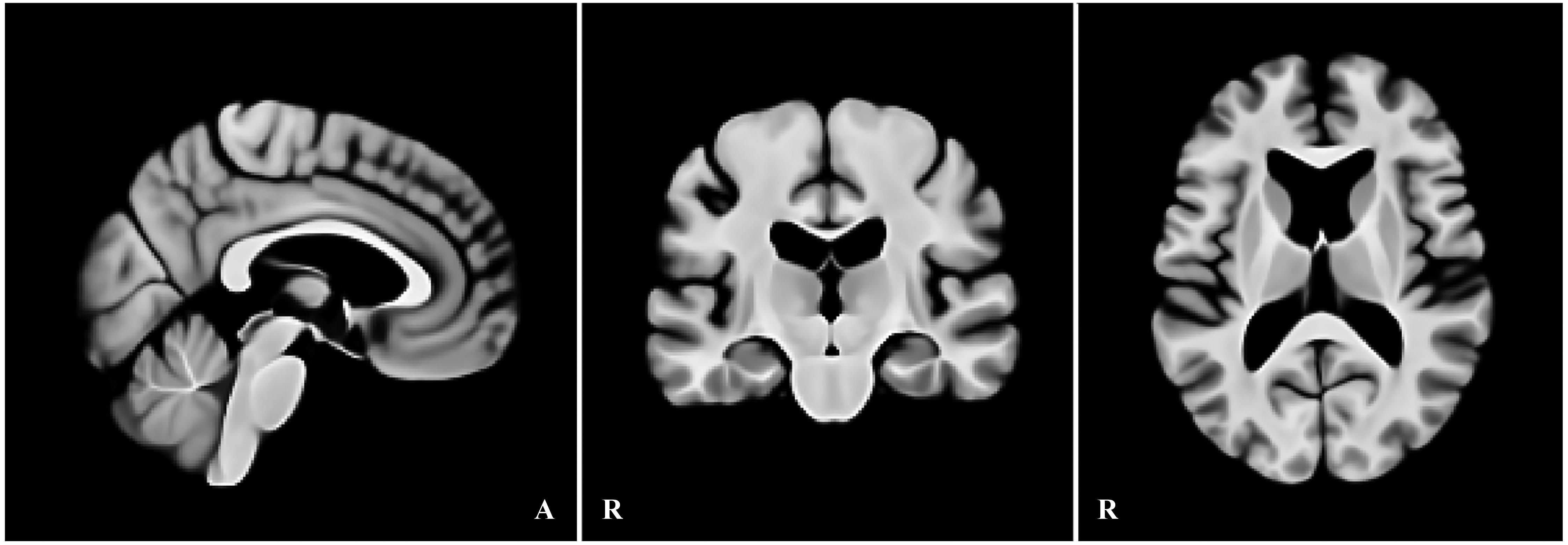
埼玉医科大学脳神経内科の大田一路らによる研究グループが新たな高齢者脳テンプレートを開発 ― 加齢に伴う脳形態の変化をより正確に反映
埼玉医科大学(埼玉県入間郡毛呂山町)脳神経内科の大田一路らによる研究グループはこのたび、高齢者向け標準脳テンプレートを新たに開発した。既存の脳テンプレートであるMNI152と比較して、60歳以降で整合性が向上しており、今後、高齢者の神経変性...
【埼玉医科大学・宇都宮大学】「影のない画像」でアミロイドーシスを鮮明に診断! ~ 新技術で複屈折を定量化、従来法を超える画像を実現
埼玉医科大学(学長:竹内勤)の若山俊隆教授(保健医療学部臨床工学科)、大学院生の横内峻さん、茅野秀一教授(保健医療学部長)と、宇都宮大学(学長:池田宰)の東口武史教授(工学部基盤工学科)らは共同で、アミロイドーシスの病理診断をより鮮明にする...
【記者会見のご案内】埼玉医科大学国際医療センターで、最新鋭の"ダビンチ5手術支援ロボット"を用いた国内初の手術を行います
埼玉医科大学国際医療センターは、ダビンチXiシステム2台、ダビンチSPシステム1台、センハンス・デジタルラパロスコピーシステム1台の合計4台の手術支援ロボットを稼働しており、年間900例を超えるペースでロボット支援下手術を実施しております。...
埼玉医科大学と大妻嵐山中学校・高等学校が中高大連携協定を締結~幅広い連携協力の下、相互の理解を深め教育の活性化を図る~
令和7年6月30日、埼玉医科大学(埼玉県入間郡毛呂山町、竹内勤学長)と大妻嵐山中学校・高等学校(埼玉県比企郡嵐山町、榎本克哉校長)は、中高大連携協定を締結しました。 この協定は、大学と中学・高等学校の連携協力の下、相互の教育についての交流・...
埼玉医科大学と西武学園文理中学・高等学校が中高大連携協定を締結~幅広い連携協力の下、相互の理解を深め教育の活性化を図る~
令和7年6月20日、埼玉医科大学(埼玉県入間郡毛呂山町、竹内勤学長)と西武学園文理中学・高等学校(埼玉県狭山市、マルケス ペドロ校長)は、中高大連携協定を締結しました。 この協定は、大学と中学・高等学校の連携協力の下、相互の教育についての交...
埼玉医科大学が7月6日にウェスタ川越で「出張! 保健医療フェスタ in 川越」を開催 ―現役フライトナースによる講演会のほか、医療体験や個別相談などを実施
埼玉医科大学保健医療学部(埼玉県日高市)は7月6日(日)、ウェスタ川越(埼玉県川越市)において「出張! 保健医療フェスタ in 川越」を開催。特別企画「保健医療学部卒業生・現役フライトナースによる講演会」のほか、医療体験企画や個別相談などを...
埼玉医科大学が3月31日にウェスタ川越で「埼玉医大グループスクールフェスタ」を開催 ― 小・中・高校生を対象とした医療体験プログラムや個別相談等を実施
埼玉医科大学(埼玉県入間郡毛呂山町)は3月31日(月)、ウェスタ川越において「埼玉医大グループスクールフェスタ」を開催する。当日は同大の医学部・保健医療学部のほか、埼玉医科大学グループが設置する医療・看護・福祉関連の各学校が集結。小・中・高...
糖尿病の新たな治療標的Betageninを発見 〜膵β細胞の増殖を促進する革新的な糖尿病治療薬の開発に期待〜
【ポイント】 ⊳ インスリン分泌を促進する消化管由来因子としてBetageninを同定し、このBetageninは膵β細胞の増殖およびアポトーシス注1)抑制作用も併せ持つことを明らかにした。 ⊳ 細胞外に分泌されるアミノ酸配列に基づくBet...
埼玉医科大学と群馬大学が3月2日に令和6年度「埼玉・群馬未来医療人育成シンポジウム」をエテルナ高崎で開催 ― 当日午前には中高生を対象とした相談会を実施
埼玉医科大学(埼玉県入間郡)と群馬大学(群馬県前橋市)は3月2日(日)にエテルナ高崎(群馬県高崎市)において、令和6年度埼玉・群馬未来医療人育成シンポジウム「地域から地域へ! つながる未来の医療人を育てる」を開催する。第1部では「未来の医療...
埼玉医科大学生理学教室・伊丹千晶講師の研究が山田科学振興財団の研究援助に採択 ― 神経活動依存的な皮質神経回路の形成機構の解明
埼玉医科大学(埼玉県入間郡)生理学教室の伊丹千晶講師(創造生理学グループ)による研究がこのたび、公益財団法人山田科学振興財団(大阪市生野区)の研究援助「チャレンジ支援枠」に採択された。同財団は自然科学における多岐にわたる分野の研究を対象とし...
埼玉医科大学の研究グループが過分化メラノーマ細胞の免疫学的特徴を解明 ― より手堅いメラノーマの治療法開発に向けて
埼玉医科大学医学部の安藤優希枝さん(医学部6年、研究医養成プログラム履修生(微生物学))、堀内大講師(微生物学)、村上孝教授(同)らの研究グループはこのたび、免疫学的特徴が解析可能な新しいメラノーマのフェノタイプ スイッチモデルを樹立した。...
埼玉医科大学国際医療センターで今年5月に初めてとなる小児心臓移植を実施 ― 2023年8月に日本で7番目の小児(11歳未満)心臓移植実施施設に認定
埼玉医科大学国際医療センター(埼玉県日高市)はこのたび、今年5月17日に同センター初となる小児心臓移植を行い、同月25日に2例目を実施したことを発表した。二人の患者さんはともに退院後約半年となるが、順調に経過。当初認めていた(抗体関連)拒絶...
埼玉医科大学と淑徳与野中学・高等学校が連携協定を締結 ― 12月9日に毛呂山キャンパスで締結式を開催
埼玉医科大学(埼玉県入間郡、学長:竹内勤)はこのたび、淑徳与野中学・高等学校(さいたま市中央区、校長:黒田貴)と連携協定を締結。12月9日(月)に同大毛呂山キャンパスにおいて締結式を行った。
埼玉医科大学と星野学園中学校・星野高等学校が連携協定を締結 ― 12月4日に毛呂山キャンパスで締結式を開催
埼玉医科大学(埼玉県入間郡、学長:竹内勤)はこのたび、星野学園中学校・星野高等学校(埼玉県川越市、学校法人星野学園理事長・星野学園中学校校長:星野誠/星野高等学校校長:松田友宏)と連携協定を締結。12月4日(水)に同大毛呂山キャンパスにおい...
学校法人埼玉医科大学と埼玉県が「保健医療に係る連携に関する協定」を締結
学校法人埼玉医科大学(丸木清之理事長 竹内勤学長)と埼玉県(大野元裕知事)は、地域医療提供体制の強化等を目的として、令和6年12月4日に保健医療に係る連携に関する協定を締結した。
埼玉医科大学が3月27日にウェスタ川越で第3回「埼玉医大グループスクールフェスタ」を開催 ― 小・中・高校生を対象とした医療体験プログラムや個別相談等を実施
埼玉医科大学(埼玉県川越市)は3月27日(水)、ウェスタ川越において第3回「埼玉医大グループスクールフェスタ」を開催する。当日は同大の医学部・保健医療学部のほか、埼玉医科大学グループが設置する医療・看護・福祉関連の各学校が集結。小・中・高校...











