「先端研究」のニュース記事検索結果 3667件

【名古屋大学】カラオケ感覚で漫才を演じられる「漫才カラオケ」開発!画面の指示に従うだけでプロのようなボケ・ツッコミを体験

【名古屋大学】カラオケ感覚で漫才を演じられる「漫才カラオケ」開発!画面の指示に従うだけでプロのようなボケ・ツッコミを体験

【本研究のポイント】 ・画面の指示に従うだけで、漫才の未経験者でも2人組で漫才を演じることができる「漫才カラオケ」を開発した。 ・漫才ネタの台詞や演じ方を画面上に提示することで、ユーザはネタを暗記する必要なく、漫才特有の間や抑揚などで漫才の...

【京都産業大学】広がる学び、つながる笑顔。京都産業大学で特別な一日を―地域と大学をつなぐ体験型イベント「サタデージャンボリー」を開催―

【京都産業大学】広がる学び、つながる笑顔。京都産業大学で特別な一日を―地域と大学をつなぐ体験型イベント「サタデージャンボリー」を開催―

京都産業大学(京都市北区/学長:在間敬子)は、地域の皆さまに大学をより身近に感じていただくため、キャンパスを開放した交流イベント「サタデージャンボリー」を2025年9月27日(土)に開催しました。未就学児から中学生まで約1900名が参加し、...

東京都市大学が新たな研究者ポータルサイト「Pure」を開設 ― オープンアクセスを推進

東京都市大学が新たな研究者ポータルサイト「Pure」を開設 ― オープンアクセスを推進

東京都市大学(東京都世田谷区、学長:野城智也)は、Elsevier(エルゼビア)社の研究情報管理システム「Pure」を活用し、同大専任教員の研究成果(論文や研究データ)等に誰もが自由にアクセスできる新たな研究者ポータルサイトを開設しました。...

東京都市大学が「水素社会研究会キックオフセミナー」を開催 ― 水素を軸とした脱炭素社会の構築を目指し、産官学民の連携を推進 ―

東京都市大学が「水素社会研究会キックオフセミナー」を開催 ― 水素を軸とした脱炭素社会の構築を目指し、産官学民の連携を推進 ―

東京都市大学(学長:野城智也)は、2025年9月16日、「TCU Shibuya PXU(東京都市大学 渋谷パクス)」にて「水素社会研究会キックオフセミナー」を開催した。 水素社会研究会は、水素エネルギーを軸とした脱炭素社会の実現に向け、技...

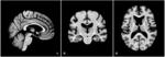
埼玉医科大学脳神経内科の大田一路らによる研究グループが新たな高齢者脳テンプレートを開発 ― 加齢に伴う脳形態の変化をより正確に反映

埼玉医科大学脳神経内科の大田一路らによる研究グループが新たな高齢者脳テンプレートを開発 ― 加齢に伴う脳形態の変化をより正確に反映

埼玉医科大学(埼玉県入間郡毛呂山町)脳神経内科の大田一路らによる研究グループはこのたび、高齢者向け標準脳テンプレートを新たに開発した。既存の脳テンプレートであるMNI152と比較して、60歳以降で整合性が向上しており、今後、高齢者の神経変性...

青森大学が10月30日に2025年度第2回「比較環境思想研究会」を開催 ― テーマは「森と人をつなぐ環境思想 ― 森林美学の視点 ―」

青森大学が10月30日に2025年度第2回「比較環境思想研究会」を開催 ― テーマは「森と人をつなぐ環境思想 ― 森林美学の視点 ―」

青森大学(学長:澁谷泰秀)比較環境思想研究センターは10月30日(木)、2025年度の第2回研究会を開催。北海道大学の小池孝良氏(農学研究院研究員)を招請し、「森と人をつなぐ環境思想 ― 森林美学の視点 ―」をテーマとした講演を行う。会場は...

【甲南大学】革新的な再生医療技術を開発! 生体で発生する力学刺激を活用して移植細胞の組織再生能力を引き出す ― 研究成果が英国科学誌『Nature Communications』に掲載 ―

【甲南大学】革新的な再生医療技術を開発! 生体で発生する力学刺激を活用して移植細胞の組織再生能力を引き出す ― 研究成果が英国科学誌『Nature Communications』に掲載 ―

甲南大学フロンティアサイエンス学部の長濱宏治教授と上田菜摘美さん(当時:大学院生)らの研究グループは、北海道大学大学院医学研究院の岩崎倫政教授らの研究グループとの共同研究により、生体で発生する力学刺激を活用して移植細胞を活性化し、組織再生能...

【日本大学】学生達が開発した地球低軌道環境観測衛星「てんこう2」新型宇宙ステーション補給機1号機(HTV-X1)に搭載されいよいよ宇宙へ!

【日本大学】学生達が開発した地球低軌道環境観測衛星「てんこう2」新型宇宙ステーション補給機1号機(HTV-X1)に搭載されいよいよ宇宙へ!

日本大学理工学部(所在地:千葉県船橋市)航空宇宙工学科 奥山圭一教授の研究室で開発された地球低軌道環境観測衛星「てんこう2」が、新型宇宙ステーション補給機1号機(HTV-X1)に搭載され、H3ロケット7号機にて2025年10月21日10時5...

香川大学

香川大学の高尾英邦教授が開発した「ナノ触覚センサ」の研究成果が社会実装へ!―共同研究により、パナソニックが日本初の毛髪キューティクル診断システムを実現―

 この度、本学の高尾英邦教授(微細構造デバイス統合研究センター長/創造工学部)との共同研究により、パナソニック株式会社くらしアプライアンス社(以下、パナソニック)は、香川大学独自の触覚センサを搭載した「毛髪キューティクル診断システム」の実用...

【日本大学】心原性ショックを伴う急性心筋梗塞におけるインペラの全国リアルワールドデータをトップジャーナルに報告

【日本大学】心原性ショックを伴う急性心筋梗塞におけるインペラの全国リアルワールドデータをトップジャーナルに報告

【概要】 日本大学医学部内科学系循環器内科学分野の新井陸助教、奥村恭男教授らは、補助循環装置インペラ※1を用いた患者を登録した全国レジストリー(J-PVADレジストリー)の解析結果を、循環器領域トップジャーナルである European He...

【杏林大学】保健学部 臨床検査技術学科の摂津助教、島田教授らの研究グループが早産児が全身性炎症から脳を防御する基本的な細胞メカニズムを解明!

【杏林大学】保健学部 臨床検査技術学科の摂津助教、島田教授らの研究グループが早産児が全身性炎症から脳を防御する基本的な細胞メカニズムを解明!

杏林大学保健学部 臨床検査技術学科の摂津黎助教(筆頭著者)、島田厚良教授(責任著者)らから構成される研究グループは「早産児が全身性炎症を発症すると、脳に傷害を起こしやすく、生後発達の過程で神経後遺症を伴う場合が多い。」という臨床的な問題では...

杏林大学

【杏林大学】目撃情報の報告が、誤った人物同定の確信度を高めてしまう可能性を実証― より良い司法プロセスに向けた示唆 ―

三浦大志講師(杏林大学保健学部臨床心理学科)・松尾加代准教授(大阪河崎リハビリテーション大学)は、目撃情報を紙媒体で報告する手法である目撃者遂行型調査(SAI)が、犯人でない人物を犯人と判断した際の確信度を高めてしまう可能性を示しました。こ...

【中部大学】染色体修復研究の国際的手順書に中部大の手法が選ばれる─ がん研究、生殖医療、進化メカニズム解明に新たな道を開くことに期待 ─

【中部大学】染色体修復研究の国際的手順書に中部大の手法が選ばれる─ がん研究、生殖医療、進化メカニズム解明に新たな道を開くことに期待 ─

染色体が壊れて別の順序でつなぎ直される現象は、がんの進行や生まれつきの病気、さらには生物の進化にも関わる重要な仕組みです。このたび国際的な学術出版社 Springer Natureから、生命科学分野で広く使われている実験手法ブックシリーズ「...

【日本大学】1つの会場で日大のすべてがわかる!「日本大学オープンユニバーシティ」を初開催[11/23(日・祝)]

【日本大学】1つの会場で日大のすべてがわかる!「日本大学オープンユニバーシティ」を初開催[11/23(日・祝)]

 日本大学は、これまで各学部(各キャンパス)でオープンキャンパスを実施してきましたが、「1か所で色々な学部学科の話が聞きたい!」という多くの声にお応えし、日本屈指の学部・学科数を誇る総合大学としての強みを最大限に活かした初の試みとして、11...

【神奈川大学】理学部 大平剛教授の研究が、次世代人材の研究能力開発支援等事業に採択され、廃止した水道施設を活用したエビの陸上養殖実証実験が横須賀市でスタートしました

【神奈川大学】理学部 大平剛教授の研究が、次世代人材の研究能力開発支援等事業に採択され、廃止した水道施設を活用したエビの陸上養殖実証実験が横須賀市でスタートしました

今回の実証実験において大平研究室は、エビの最適な飼育技術の指導を行うことで、効率的で安定したバナメイエビの周年養殖モデルの確立を目指しています。エビ養殖では適切な育成管理を行わないと病気の発生や品質が低下してしまうため、学術的な知見を取り入...

2025年度シンポジウム「AIとメディア芸術」を開催ー東京工芸大学大学院芸術学研究科メディア芸術研究センター

2025年度シンポジウム「AIとメディア芸術」を開催ー東京工芸大学大学院芸術学研究科メディア芸術研究センター

東京工芸大学(学長:吉野弘章、所在地:東京都中野区、以下本学)大学院芸術学研究科メディア芸術研究センター(以下、本研究センター)は、「AIとメディア芸術」をテーマにシンポジウムを開催する。開催日は2025年10月18日(土)で、入場は無料。

近畿大学医学部・病院開設50周年記念 「おおさかメディカルキャンパス」オープニング記念式典を開催

近畿大学医学部・病院開設50周年記念 「おおさかメディカルキャンパス」オープニング記念式典を開催

近畿大学(大阪府東大阪市)は、医学部・病院の開設50周年に合わせて、堺市泉ケ丘駅前に「近畿大学おおさかメディカルキャンパス」を開設します。つきましては、令和7年(2025年)10月19日(日)にオープニング記念式典を開催します。

~いのちに寄り添うプロフェッショナル~ヤマザキ動物看護大学・大学院の在校生と卒業生が活躍

~いのちに寄り添うプロフェッショナル~ヤマザキ動物看護大学・大学院の在校生と卒業生が活躍

ヤマザキ動物看護大学動物看護学科(東京都八王子市 山﨑薫学長)では、動物病院を中心に臨床現場で活躍する動物看護師に求められる豊かな人間性と幅広い視野、専門的な理論と技術を修得し、高度化・専門分化した動物医療において必要とされる応用的理論・技...

京都橘大学 生命健康科学研究センター講演会開催 ~研究機関・医療機関の研究者や医療従事者との共同研究の創出をめざして~

京都橘大学 生命健康科学研究センター講演会開催 ~研究機関・医療機関の研究者や医療従事者との共同研究の創出をめざして~

京都橘大学(京都市山科区、学長:岡田 知弘)は、生命健康科学研究センターの先進的な研究成果を広く共有し、近隣大学の研究者や医療従事者のみなさまとつながり、共同研究等の創出をめざして、2025年10月18日(土)にキャンパスプラザ京都にて講演...

光合成生物の分裂に新たな仕組みを発見-チラコイド膜を形づくるタンパク質が細胞・葉緑体分裂にも関与―

光合成生物の分裂に新たな仕組みを発見-チラコイド膜を形づくるタンパク質が細胞・葉緑体分裂にも関与―

 光合成生物の細胞や葉緑体の分裂制御において、これまで未知であった多重膜の分裂を制御する仕組みが解明された。本研究は、日本大学の金恩哲助教(前・基礎生物学研究所)とドイツ・ダルムシュタット工科大学のMarcel Dann 助教授を中心に、基...